Infinity Corrected Objective의 분해능과 배율 이해하기

광학 산업에서 현미경은 머신 비전 및 생명 과학 분야에 모두 응용되는 유용한 기술입니다. 머신 비전 용도는 반도체, 전자 기술, 조립, 생산 분야에 주로 적용됩니다. 특히, 생명 과학 분야에서 세포나 생물학적 샘플을 다양한 배율로 관찰할 수 있게 합니다. 분해능(resolving power), 배율 및 기타 다른 대물렌즈 사양이 어떻게 상호작용하는지 파악하기 위해서는, 5X, 10X, 20X, 50X 배율에서 각각의 infinity corrected objective가 어떻게 이미지를 얻는지를 고려해봐야 합니다.
Edmund Optics의 infinity corrected objective를 활용하는 4가지 예시는 다음 단원에서 상세히 다룹니다. 대물렌즈는 Mitutoyo objective로도 대체가 가능합니다. Mitutoyo objective는 머신 비전과 산업 검사 장비에서는 비슷한 수준이지만, 특히 적은 광량의 조건이나, 세포 또는 micro 단위의 검사가 필요한 경우 최적의 성능을 보입니다.
대물렌즈 관련 핵심 용어
Infinity corrected objectives는 어떤 배율에서도 비교적 높은 퀄리티의 이미지를 얻기 때문에, 높은 정확도를 요구하거나, 모듈 방식의 filter, polarizer, beamsplitter 그리고 in-line illumination 등의 부품을 광 경로에 추가하는 경우 가장 이상적으로 사용할 수 있는 렌즈입니다. 하지만, infinity-corrected objectives는 다음과 같은 단점도 가집니다:
- 높은 배율은 더 높은 NA(Numerical Aperture)를 가지게 하지만, 동시에 더 짧은 working distance와 더 작은 field of view를 야기합니다.
- 반면 낮은 배율은 더 낮은 NA를 가지게 하지만, 동시에 더 긴 working distance와 더 넓은 field of view를 야기합니다.
- 해상도는 배율에 의해 좌우되며, 서로 비례하여 증가합니다.
Infinity corrected objectives는 배율, NA, working distance, 그리고 해상도가 서로 상호 연관되어있습니다. 배율은 tube lens의 focal length를 objective의 focal length로 나누어 얻을 수 있습니다. NA는 focal length와 entrance pupil diameter의 함수로 표현되며, 전체 시스템이 받아들이는 광량에 영향을 미칩니다. Working distance (WD)는 objective의 광경로 상의 parfocal distance로 정의되며, 렌즈의 가장 앞단에서 샘플까지의 거리를 의미합니다. 분해능은 가장 설명하기 까다로운 사양 중 하나입니다. 실제 검사 샘플이 특정 배율에서 어떻게 이미지화되는 지와 분해능을 수치화하는 방법이 어렵기 때문에, 다음 단원에 나온 실제 응용 예시를 검토하고 학습하는 것이 가장 큰 도움이 될 것입니다. 더 많은 대물렌즈 용어를 확인하기 위해서는 Microscopes와 Objectives 이해하기를 참조하시기 바랍니다.
어플리케이션 예제
infinity corrected objective 시스템은 다양한 분야에 응용됩니다. 이러한 시스템은 생명과학 분야에서 가장 일반적으로 사용되는 형광단 감지부터 더 정교한 공초점 및 다광자 시스템을 아우르는 형광 현미경 관찰까지 사용 범위가 넓습니다. 복잡한 시스템의 경우 고배율, 정밀 설계, 고성능 필터, 그리고 레이저와 같은 고출력 광원을 포함합니다. 반면, 상대적으로 간단한 시스템은 일반적인 광대역 광원, 기본 필터, 간단한 기계적 구성을 가지며, 검사 대상에 따라 저배율에서 고배율까지 사용합니다.
배양된 피부 조직의 저배율 이미징
샘플의 종류에 따라 infinity corrected objective를 선택하는 데 도움이 되는 몇 가지 경험적 방법이 있습니다. 전형적으로 10μm 내외 세포 그룹의 이미지를 얻는 경우, 낮은 배율과 낮은 해상도의 대물렌즈가 적합합니다. 반면, 세포막이나 세포 내 미토콘드리아, 리보솜 또는 핵 등을 구분해야 하는 시스템에 사용되는 경우 해상도는 1μm 또는 그 이하일 때 최적의 사양을 가집니다.
그림 1부터 4는 Zen-Bio Inc.(미국, 노스캐롤라이나, Research Triangle Park에 위치)에서 배양하고 준비한 샘플을 트리크롬으로 염색한 3D Skin Culture Model을 보여줍니다. 그림 1에서는, 조직을 유지하는 extracellular matrix (ECM)으로 둘러싸인 세포 구성을 선명하게 관찰할 수 있습니다. ECM은 interstitial matrix와 기저막으로 내부가 구성되어 있으며, 다당류와 섬유상 단백질이 위치하여 외부 압력에 대한 버퍼 역할을 합니다. 기저막은 다수의 세포판이 상피세포를 사이에 두고 쌓여있는 형태입니다. 다당류 겔과 상피세포를 선명하게 관찰하기 위해, 고배율의 Infinity corrected objectives를 사용하면 최상의 이미지를 얻을 수 있습니다. 조직은 푸른색으로 염색된 시료와 자색으로 나타나는 세포와 세포막에 둘러싸여 있으며, 각 세포는 미토콘드리아나 핵과 같은 고밀도의 세포 내 물질을 표시하기 위해 작은 점은 백색이나 일부는 적색으로 염색되어 나타납니다.
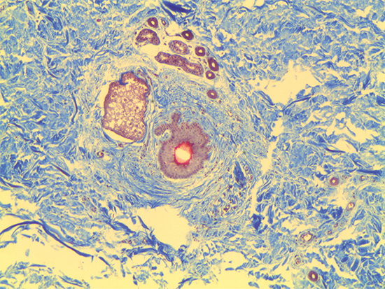
그림 1은 #59-876 5X M Plan Apo Objective를 사용하여 얻은 이미지입니다. 해당 infinity corrected objective는 NA 0.14를 가지며, 1/2” 센서에서 1.28mm x 0.96mm의 field of view, 그리고 2μm의 해상도를 보입니다. 보통 인간의 세포 크기가 10μm이므로, #59-876의 대물렌즈 사양이 가장 이상적인 옵션입니다.
그림 1: 트리크롬으로 염색한 피부 조직 샘플을 5X 배율에서 #59-876 Objective를 사용하여 관찰한 이미지
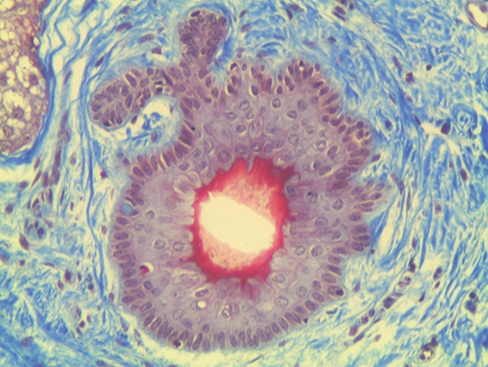
그림 2는 #59-877 10X M Plan Apo Objective를 이용하여 얻은 이미지입니다. NA 0.28을 가지며, 1/2” 센서에서 0.64mm x 0.48mm의 field of view, 그리고 1μm의 해상도를 보입니다. 이 이미지에서는 ECM과 사이 조직의 짜임과 적층을 선명하게 관찰할 수 있습니다. 또한, 확연한 세포막은 리보솜, 미토콘드리아, 그리고 중심에 큰 핵이 존재함을 명백히 보여줍니다.
그림 2: 트리크롬으로 염색한 피부 조직 샘플을 10X 배율에서 #59-877 Objective를 사용하여 관찰한 이미지
배양된 피부 조직의 고배율 이미징
그림 3은 #59-878 20X M Plan Apo Objective를 사용하여 얻은 이미지입니다. NA 0.42를 가지며, 1/2” 센서에서 0.32mm x 0.24mm의 field of view, 그리고 0.7μm의 해상도를 보입니다. 그림 3에서는 주어진 시야 내에서 전체 세포를 관찰할 수 있습니다. 특히, 둘러싸인 ECM이 뚜렷하게 구별돼서 보이며, 세포 내 분자 또한 훨씬 크게 보여 그림 1과 2에 비해 더 나은 가시성을 갖습니다.
그림 3: 트리크롬으로 염색한 피부 조직 샘플을 20X 배율에서 #59-878 Objective를 사용하여 관찰한 이미지
그림 4는 50X 배율 적용 시의 이미지입니다. 참고로 이보다 더 높은 배율에서는 infinity corrected objective나 이미지 면을 안정화하는 스테이지나 피에조 장치 등 없이도 쉽게 이미지를 얻을 수 있습니다. 다만, 이 배율에서 조명 기기나 PC fan에 의한 약한 진동은 영상에 강한 흔들림이나 초점이 맞지 않는 등의 현상을 야기할 수 있으니 주의가 요구됩니다. 그림 4는 #59-879 50X M Plan Apo Objective를 사용하여 얻은 이미지입니다. NA 0.55를 가지며, 1/2” 센서에서 0.128mm x 0.096mm의 field of view, 그리고 0.5μm의 해상도를 가집니다. 해당 objective는 심도가 0.9μm 정도밖에 되지 않기 때문에, 적절한 기계적 설비가 이루어지지 않으면 포커싱이 까다로울 수 있습니다. 그림 4에서 보이는 바와 같이, 세포막과 세포 내 구조가 매우 선명하며, 이 전에 사용한 5X, 10X, 20X에 비해 월등한 이미지 퀄리티를 보입니다. 또한, 세포의 규격과 모양이 훨씬 명확하게 구분되는 것을 확인할 수 있습니다. 그림 1(5X 배율)과 그림 4(50X 배율)를 비교하면, 배율이 증가할수록 퀄리티도 증가하는 것을 볼 수 있습니다. 이때 분해능은 4배 증가하고 field of view는 20만큼 감소합니다. 50X 배율로 이미지를 얻을 때, 높은 빛의 강도나 대비를 얻기 위해서는 광량을 증가하거나 셔터 속도와 gain을 디지털 방식으로 조절해야 합니다. 디지털 세팅은 명도나 프레임 속도에 맞게 자동으로 보정되어, 가장 초기의 digital video microscope를 구성할 때 편리합니다. 기성 제품을 활용한 구성에 대하여 상세한 정보를 원하시면, Digital Video Microscope Objective Setups를 참조하시기 바랍니다.
그림 4: 트리크롬으로 염색한 피부 조직 샘플을 50X 배율에서 #59-879 Objective를 사용하여 관찰한 이미지
Infinity corrected objectives는 머신 비전 검수 시스템과 생명 과학 분야에 이상적으로 사용되는 부품입니다. 피부 세포와 같은 생물체의 샘플을 관찰할 때는, 다양한 배율에서 어떤 결과를 얻을 수 있는지 이해하는 것이 매우 중요합니다. 5X와 10X objective는 세포 그룹이나 세포 외 미세 구조를 검사할 때 이상적입니다. 반면, 20X와 50X objective는 향상된 해상도로 세포 내부의 분자를 관찰하는 데 적합합니다.
본사 및 지사별 연락처 확인하기
견적 요청 도구
재고 번호 입력 필요
Copyright 2023, 에드몬드옵틱스코리아 사업자 등록번호: 110-81-74657 | 대표이사: 이준호 | 통신판매업 신고번호: 제 2022-서울마포-0965호, 서울특별시 마포구 월드컵북로 21, 7층 (서교동, 풍성빌딩)
The FUTURE Depends On Optics®