제품이 장바구니에 추가됨
Forus Health

사례 연구 4:
개발 도상국에서의 치료 가능한 실명의 근절

Forus Health는 개발 도상국에 경제적인 의료 혜택을 지원하고 사전 검진을 위해 저가의 휴대용 검안경을 제작합니다

Iris - Deformable Mirrors

Forus Health는 개발 도상국의 보건의료전달 체계에 닥친 위기를 피력하며 에드몬드 옵틱스의 광학 부품으로 설계된 혁신적이면서도 저가의 휴대용 안과 검진 장비인 3nethra를 개발한 기업입니다. Forus Health사의 주요 메시지는 대략 1:60,000의 안과 의사 대비 높은 환자수 비율을 갖는 현실에 처한 인도에서 치료 가능한 실명을 근절하는 데 있습니다. 3nethra는 백내장, 녹내장, 당뇨성 망막, 굴절 질환, 각막 질환과 같은 5대 안질환을 감지해지는 장비입니다. 이러한 기기는 최소한의 훈련을 받은 테크니션일지라도 안과 전문의가 없는 상황에서 진료를 볼 수 있도록 설계가 되었으며, 척박한 곳에서도 사용과 설치가 용이합니다. 이와 더불어 3nethra의 원격 진료와 데이터 저장 역량으로 전 지역의 안과 진료소와 접속이 가능합니다. Forus Health의 방대한 고객층은 안과 전문 Ophthalmology Hospitals & Clinics, Diabetic & Diagnostic Clinics, 그리고 Vision Centers (health kiosks 및 general physicians)와 같은 의료 사업체로 구성됩니다. 3nethra 기기는 정식 의료 검증 및 CE 표준을 준수하는 테스트를 거쳐 인도의 대형 안과 전문 병원에 이미 배포되어 있습니다.  

Iris - Deformable Mirrors

제품 개발을 향한 도전

  • 3nethra는 에드몬드 옵틱스의 광학 부품을 이용해 제작된 저가의 휴대용 안과 검진 장비입니다.
  • Planoconvex lens와 achromatic lens 같은 표준 구면 광학 부품에 특수 mirror와 polarizer가 함께 사용되었습니다.
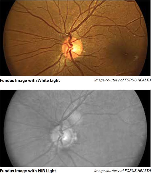
  • 이전 디자인이 가시광 영역에서는 우수한 이미지를 보여주었으나, NIR 영역에서는 여전히 양호하지 못한 이미지를 생산하였습니다. 선명한 반사로 이미지의 중심에서 뚜렷하게 보이나 검진 과정에서 간섭이 발생하였습니다.
  • 최대 1000nm의 장파장 영역까지 커버할 수 있도록 무반사 코팅으로 보정 처리하여, 시스템에 존재하는 반사와 노이즈를 보정하였습니다. 이와 같은 이중 검사 방식은 안과 용도에서 무엇보다 중요합니다.
  • 망막 표면과 각막 전체의 일반적인 검사는 가시광 영역에서 이루어지지만, 눈에 자극을 주지 않는 지속적인 검사는 NIR 영역에서 이루어집니다.

EO와 파트너십을 맺은 FORUS HEALTH 기업 정보

Forus의 기업명은 자사와 자사의 커뮤니티를 내포한 “For us” 영문에서 비롯되었습니다. FORUS HEALTH는 혁신주도형 기술 회사로서 저가형 기술 솔루션을 개발하고 건강한 삶을 대중화하면서 인도 및 주변국의 보건 의료 실태에 관심을 두고 있는 기업입니다. 인도 방갈로르를 근거지로 K. Chandrasekhar와 Shyam V. Rao에 의해 설립된 이 신생 기업이 개발한 3nethra는 저가의 휴대용 안과 검진 장비입니다. Forus사는 안질환 검진뿐만 아니라 당뇨, 심혈관, 신장, 신경 질환의 초기 증상을 감지하기 위해 망막 스캐닝 기술 개발에 목표를 두고 있습니다. FORUS HEALTH는 창립 후 초기 몇 년간 Gold Medallist, DST - Lockheed Martin India Innovation Growth Programme, Indo Dutch Innovation Award, Samsung Innovation Quotient, 2010 Piramal Prize와 같은 9개의 수상을 일궈온 놀라운 이력을 가지고 있습니다.  

The Future Depends on Optics
본 콘텐츠가 도움이 되었습니까?

References

  1. “Global Data on Visual Impairment.” World Health Organization, World Health Organization, 2010, www.who.int/blindness/publications/globaldata/en/.
  2. The Tech Museum of Innovation. “Forus Health: 2017 Tech for Global Good Laureate.” YouTube, 4 November, 2017, https://www.youtube.com/watch?time_continue=31&v=IUKMnMD-ZY0.
  3. “Preterm birth.” World Health Organization, World Health Organization, 2018, https://www.who.int/news-room/fact-sheets/detail/preterm-birth.
The Future Depends on Optics
 
영업 & 기술 지원
 
본사 및 지사별 연락처 확인하기
빠른
견적 요청 도구
재고 번호 입력 필요